Definitions for Key GE Voluson P8 Ultrasound Features
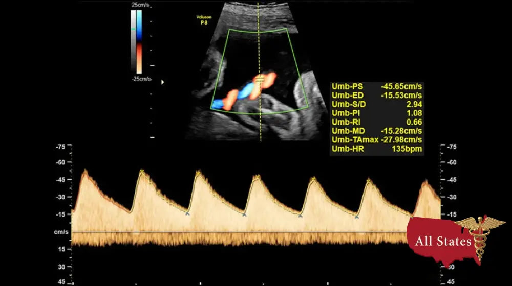
• Auto Optimization is a one-touch image optimization function that allows a user to optimize the image based on the actual B-Mode image or Pulse wave Doppler data. This function works based on preset levels (Low, Medium, and High and allows users to pick a preference for the contrast enhancement in the resulting image. Low level offers the least amount of contrast enhancement, while High does the most. Auto Optimization is available in single or multi image, on live, frozen or CINE images (in B-Mode only, while in zoom, and in Spectral Doppler. Auto Optimization in PW Doppler Mode also optimizes the spectral data. The setting auto adjusts the Velocity Scale (for live imaging only and offers baseline shift, dynamic range, and invert (if preset. Upon deactivation, the spectrum is still optimized.
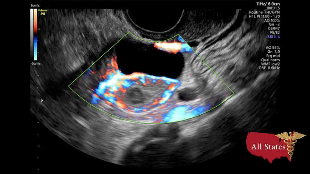
• SRI (Speckle Reduction Imaging reduces speckle noise in images. It affects edges and fine details, which limit the contrast resolution and make diagnostic more difficult.
• CrossBeam (Spatial Compounding Imaging obtains real-time sonographic information from several different angles of insonation and combines them to produce a single image. CrossBeam helps reducing speckle artifacts, enhancing mass margin delineation, and improving anatomical details.
• Coded Harmonic Imaging (CHI utilizes Digitally Encoded Ultrasound (DEU and enhances near-field resolution for improved small-parts imaging. CHI diminish low-frequency, high-amplitude noise, and improves imaging technically on difficult patients. Harmonics may be especially beneficial when imaging isoechoic lesions in shallow-depth anatomy in the breast, liver, and hard-to-visualize fetal anatomy. Harmonics may also improve B-Mode image quality without introducing a contrast agent.
• Virtual Convex is available on linear and Sector probes. Virtual Convex provides a larger field of view in the far-field and is always active with sector probes.
• Extended View (XTD enables a transducer to be moved along a larger organ, stitching multiple images together to form one long image with an extremely wide field of view.
• Raw Data is a software tool that enables image processing, quick data re-acquisition, and image analysis with the same resolution and same frame rates of original images. Raw Data helps shorten exam duration, improves clinical workflow by post-processing, and reduces the time to put the probe on a patient.
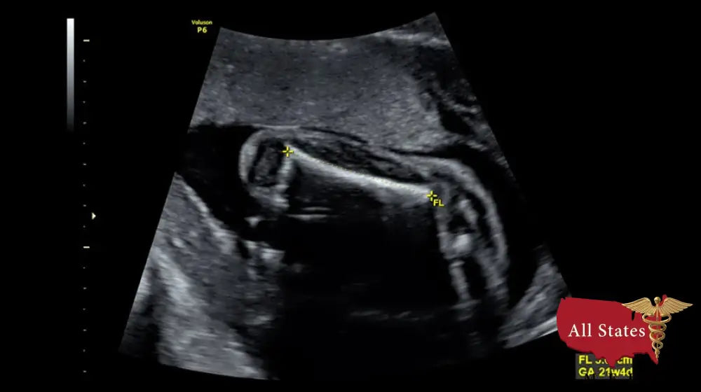
• SonoBiometry performs a semi-automatic measurement of the head both head circumference and bi-parietal diameter, abdomen and femur. This tool can help enhance clinical workflow by helping reduce keystrokes to perform biometry measurements.
• SonoNT (Sonography-based Nuchal Translucency and SonoIT† (Sonography-based Intracranial Translucency are Voluson technologies that help provide semi-automatic, standardized measurements of the nuchal and intracranial translucency as early as 11 weeks. Both tools can integrate easily into your workflow. SonoNT helps avoid the inter- and intra-observer variability that comes with manual measurements and helps provide you with the reproducibility you demand.
• SonoAVC*follicle (Sonography-based Automated Volume Count follicle automatically calculates the number and volume of hypoechoic structures in a volume sweep, helping improve efficiency and workflow of follicular assessment. This feature helps to detect low echogenic objects (eg., follicles in an organ (eg., ovaries and analyzes their shape and volume. From the calculated volume of the object, an average diameter will be calculated. All objects detected that way will be listed according to size. The calculation results are displayed in the right monitor area. The objects are listed according to size. All different objects are color-coded, i.e., the color surrounding the number of the object also denotes the object on the image. If the mouse cursor hovers over a specific item on the list the respective object in the image is highlighted and vice versa. The color of the object is bound to its position on the list.